俊美牙醫診所 Chunmei Dental Clinic
    CLOSE
  • 關於俊美
  • 最新消息
    • 回上一頁
    • 文章發表
    • 牙科新知
    • 門診時間異動
  • 治療項目
  • 案例分享
    • 回上一頁
    • 齒顎矯正案例
    • 全口重建案例
    • 智齒拔除案例
    • 晶鑽全瓷貼片案例
    • 全瓷嵌體案例
    • 其他案例
    • 顳顎關節症候群
    • 微創植牙
  • 患者常見Q&A
  • 衛教項目
    • 回上一頁
    • 牙醫說這個習慣錯了
    • 牙齒的功能
    • 服用骨鬆藥品注意副作用
    • 植牙上顎竇補骨術後注意事項:
    • 矯正治療注意事項
    • 埋伏智齒拔牙後須知
  • 預約門診
    • 回上一頁
    • 聯絡我們
  • Copyright © 2019 MIRACLE

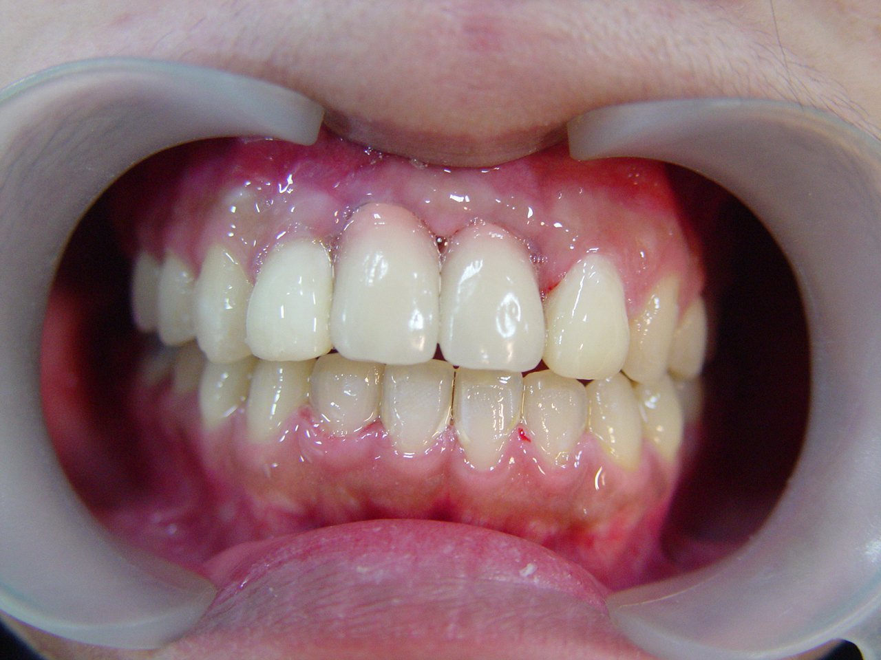
全口重建案例23(牙弓變形、上下顎骨架落差大、受力不均)




患者因門牙經常流血、不舒服來就診,經醫師評估後才知道,原來後牙缺牙要修復,牙齒牙弓位置跟正常差很多,因此建議進入全口重建。
即需將牙齒矯正到接近正常位置、缺牙要補足,並將前牙太差牙根拔除,以植牙修復,再重建前牙美觀。


治療約5個月狀況。


治療約一年後。


治療結束了, 前牙也 修復完成了, 和原來差很大,牙齦也不再總是紅腫、出血。
牙齒好咀嚼, 功能正常 ,也可以大方、自然的開口笑,臉型優化顯年輕。
醫病雙嬴!!
回上層

俊美牙醫

地址:台中市北區太原路三段78號
電話:04-22323127
GOOGLE 地圖
歡迎追蹤我們、與我們聯繫,很高興為您服務
粉絲團

FACEBOOK

 
 
Designed by 米洛網頁設計
本站是採用全世界最先進的SSL 256bit 傳輸加密機制
本站是採用SSL 256bit 傳輸加密機制