
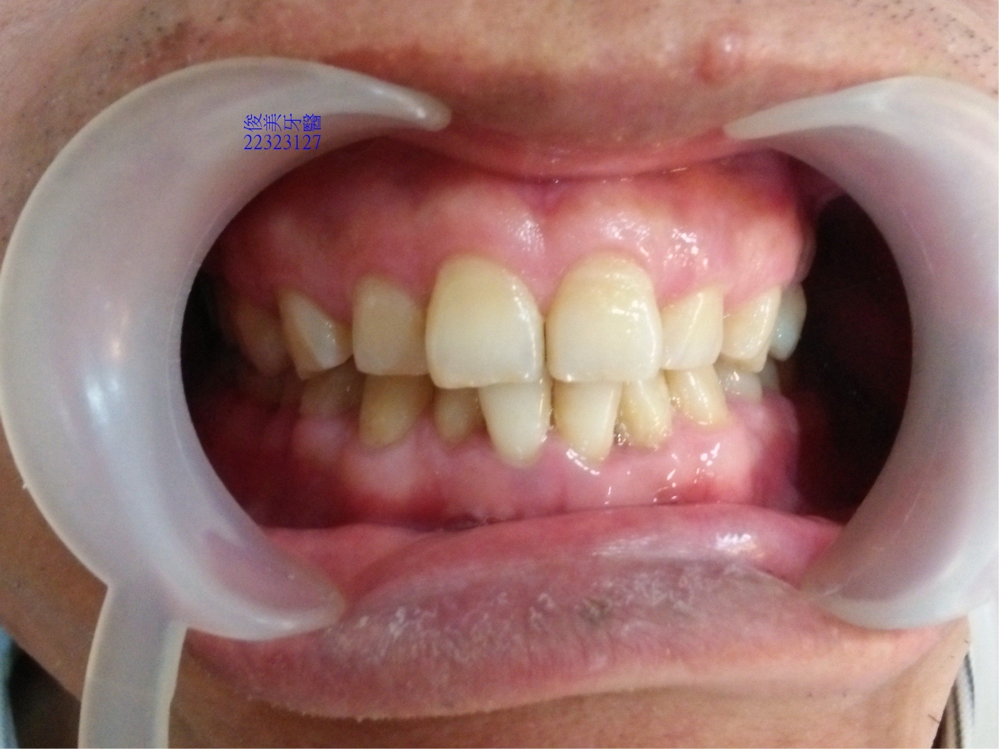
患者因牙齒過度磨損,缺牙未補,導致牙齒位移,牙弓明顯變形,咀嚼食物時牙縫會塞,牙齦經常發炎腫起來,
因此醫師分析後建議患者不可單純補缺牙,對整體問題無法改善,患者考慮後,因為經常發炎非常困擾,決定接
受醫師建議做整合性治療。

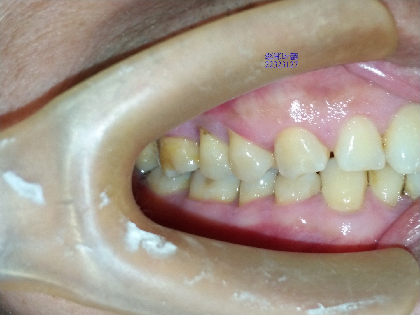
牙齒位移,前牙受力明顯過多,牙齒磨損的很平,牙齒變短、切端變厚。

牙縫開始變大。

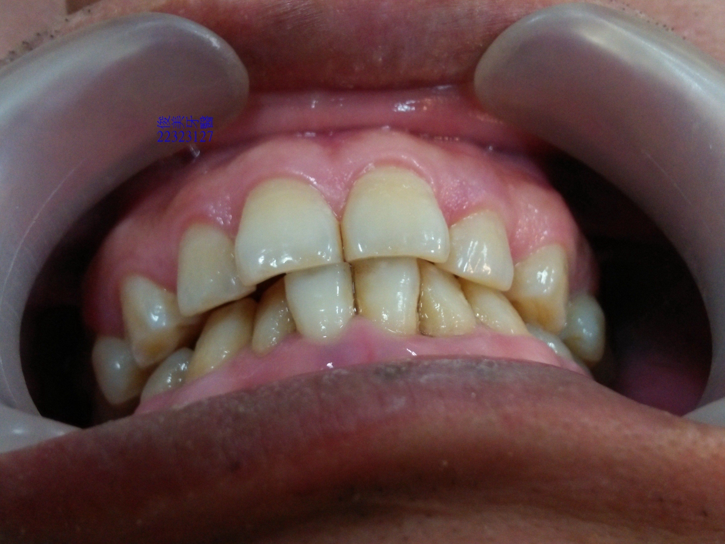
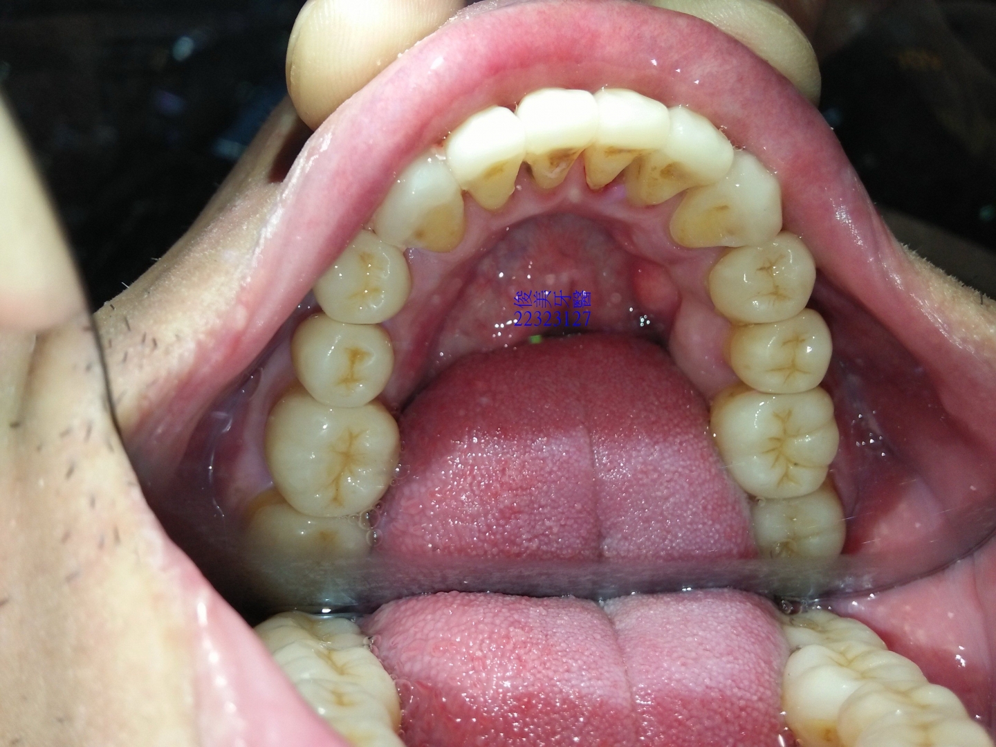
上顎原始狀況。

下顎原始狀況。牙齒開始內傾到舌側位置。

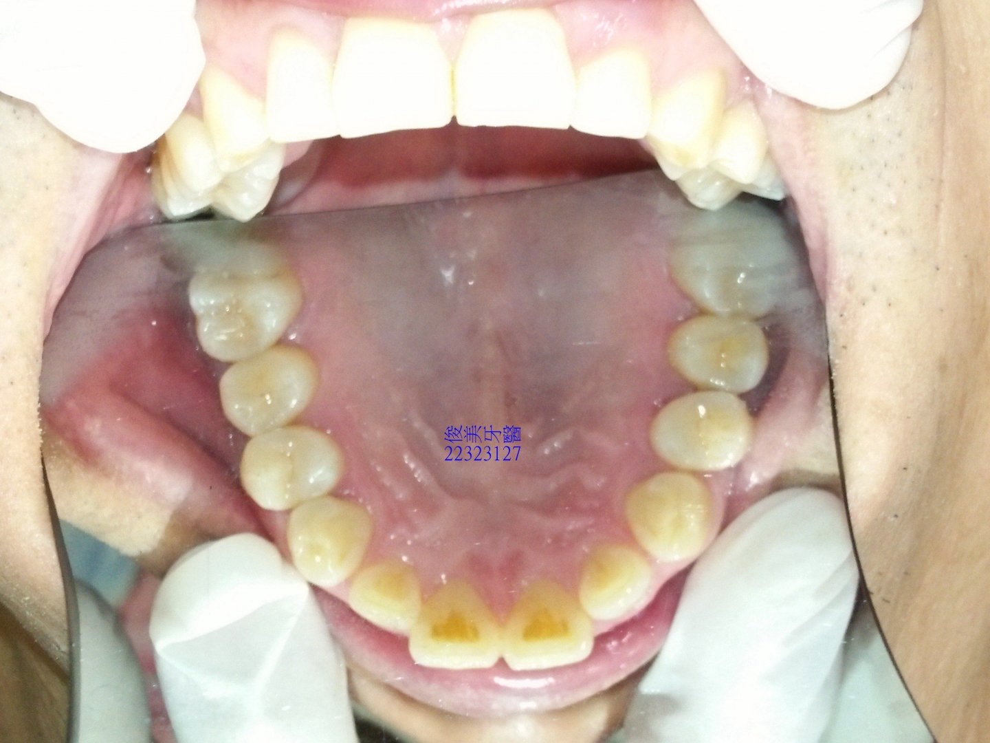
後牙咬合高度逐漸變低。

後牙咬合高度逐漸變低;犬齒受力大,高度剩下2/3,切端皆已磨損喪失。
經過整合性治療......
利用矯正方式將患者的下顎牙弓擴張為原來的大小、恢復患者後牙喪失的高度,最後將前牙磨損的牙齒以
全瓷晶鑽貼片做修復,達到美觀的功能。

治療完成後,需配戴維持器。

上顎治療後狀況。

下顎治療後狀況。

咬合狀況。

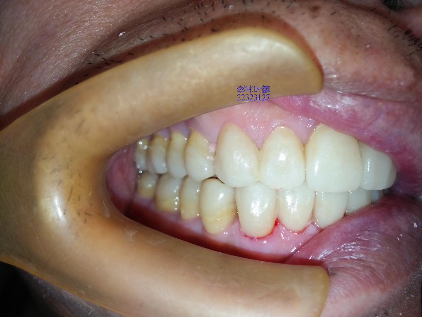
後牙高度已建立,恢復琺瑯質的厚度。

後牙高度已建立,恢復琺瑯質的厚度。

治療前、後牙弓形狀差異比較。

治療前、後,前牙差異比較。
患者非常滿意。
正常清潔、使用沖牙機維護牙齦健康,配戴維持器,定期回診即可。
幾個月後回診,患者表示牙齒很好清潔,微笑起來也很自然、搶眼,非常醒目,和朋友相較,牙齒差很大..........

每天都有好心情,笑得開心,吃得順口......咬合沒有干擾。

重建口腔健康,完整規劃, 一次解決口腔問題,讓患者滿意、放心。
達到醫病雙嬴。
正常牙弓形態與變形牙弓形態的牙齒影響比較表:
| 影 響 | 牙弓正常形態 | 牙弓變形形態 |
| 牙縫大小 | 小、緊、穩 | 大、鬆、垮 |
| 牙齦顏色 | 淡粉紅色不易出血 | 暗紅色易出血 |
| 靜態使用牙線 | 有阻力、阻力大 | 較無阻力或小阻力 |
| 自淨作用 | 佳,死角少 | 不良,死角多 |
| 蛀牙機率 | 低 | 高 |
| 齒槽骨萎縮 | 低 | 高 |
| 牙周病發生率 | 低 | 高 |
| 神經被抽掉機率 | 低 | 高 |
| 整體齒列強度 | 強 | 弱 |
| 牙齒長久穩定性 | 強 | 弱 |
| 臉頰咬破,咬、磨到舌頭機率 | 機率低 | 機率高 |

