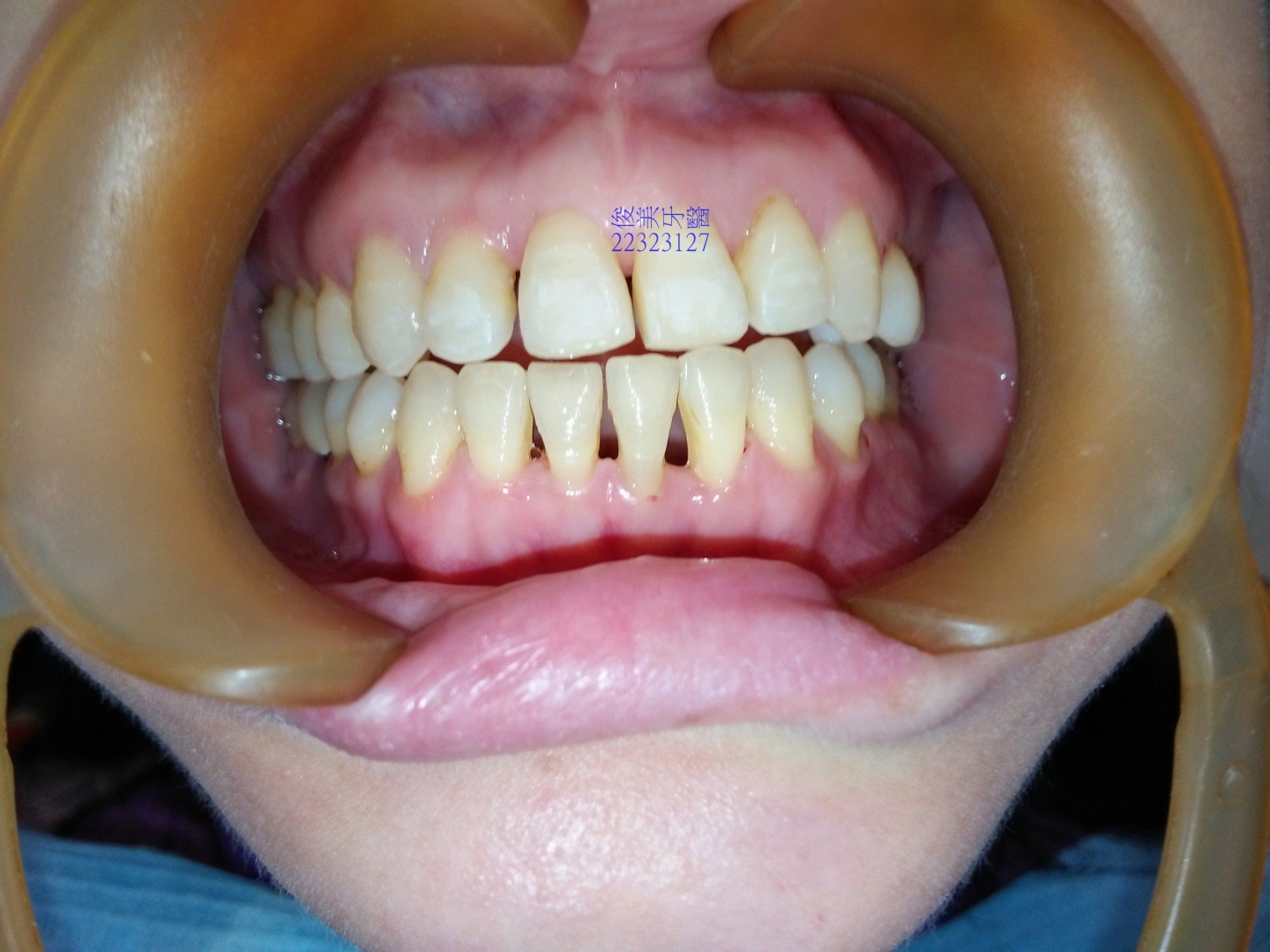
者於門診中表示,其他醫師說有顆牙齒壞了,要先拔牙,之後還要植牙,所以有點害怕,
想要再確認一下牙齒的狀況,經醫師檢查後,確認後牙有顆抽過神經的牙齒確實是已經有問
題要拔除,但患者的牙齒排列異常凌亂,在此種咬合下牙齒將來一定會有牙周的問題產生,
沒辦法根治 ,於是幫患者詳細分析、解說,再讓患者回去考慮,是否要進行重建療程。
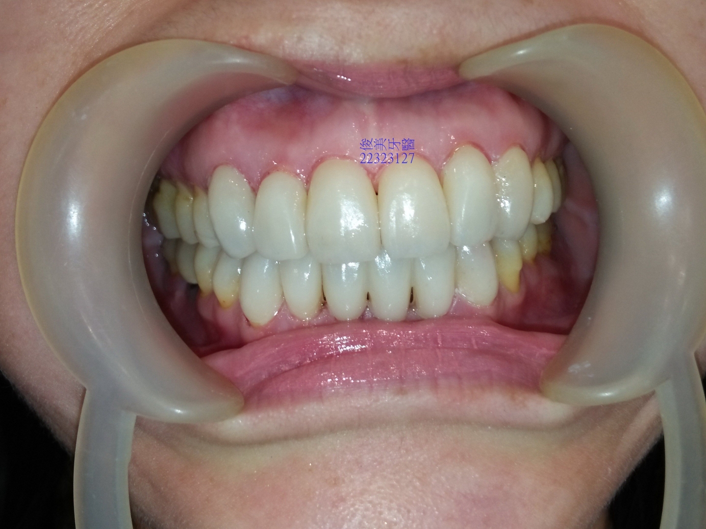
患者很驚訝,原來自已的牙齒可以利用矯正的方式,移動到正常的位子,來解決從以前排列就不好的問題,
她以為矯正是只有小孩子才可以做的療程,幾番思考,她決定要進行重建。

將牙齒排列好了之後,原來牙齒重疊在一起的地方,牙縫都變大了,因療程前醫師已告知患者,這些牙齒因位子
不對,所以調整後會有牙縫變大的現象,因為下方的骨頭已經萎縮,只是因為原來疊在一起所以患者查覺不出來
。

患者非常開心的在我們的規劃下,將前牙的美觀一次修復回來,不但解決了她的缺牙問題,也將患者的咬合、
咬力分配,做全面性的處理,長效性的解決她的牙齒問題。也讓她的微笑永遠比別人亮眼喔!!

您是不是也很心動與羨慕呢!!

三個月後回診 ,保持亮麗的笑容,好清潔,心情天天都美麗。

6個月後回診,笑容閃閃動人,散發動人光采。


脣形優美、自然。
想要再確認一下牙齒的狀況,經醫師檢查後,確認後牙有顆抽過神經的牙齒確實是已經有問
題要拔除,但患者的牙齒排列異常凌亂,在此種咬合下牙齒將來一定會有牙周的問題產生,
沒辦法根治 ,於是幫患者詳細分析、解說,再讓患者回去考慮,是否要進行重建療程。

患者很驚訝,原來自已的牙齒可以利用矯正的方式,移動到正常的位子,來解決從以前排列就不好的問題,
她以為矯正是只有小孩子才可以做的療程,幾番思考,她決定要進行重建。

將牙齒排列好了之後,原來牙齒重疊在一起的地方,牙縫都變大了,因療程前醫師已告知患者,這些牙齒因位子
不對,所以調整後會有牙縫變大的現象,因為下方的骨頭已經萎縮,只是因為原來疊在一起所以患者查覺不出來
。

患者非常開心的在我們的規劃下,將前牙的美觀一次修復回來,不但解決了她的缺牙問題,也將患者的咬合、
咬力分配,做全面性的處理,長效性的解決她的牙齒問題。也讓她的微笑永遠比別人亮眼喔!!

您是不是也很心動與羨慕呢!!

三個月後回診 ,保持亮麗的笑容,好清潔,心情天天都美麗。

6個月後回診,笑容閃閃動人,散發動人光采。


脣形優美、自然。

