俊美牙醫診所 Chunmei Dental Clinic
    CLOSE
  • 關於俊美
  • 最新消息
    • 回上一頁
    • 文章發表
    • 牙科新知
    • 門診時間異動
  • 治療項目
  • 案例分享
    • 回上一頁
    • 齒顎矯正案例
    • 全口重建案例
    • 智齒拔除案例
    • 晶鑽全瓷貼片案例
    • 全瓷嵌體案例
    • 其他案例
    • 顳顎關節症候群
    • 微創植牙
  • 患者常見Q&A
  • 衛教項目
    • 回上一頁
    • 牙醫說這個習慣錯了
    • 牙齒的功能
    • 服用骨鬆藥品注意副作用
    • 植牙上顎竇補骨術後注意事項:
    • 矯正治療注意事項
    • 埋伏智齒拔牙後須知
  • 預約門診
    • 回上一頁
    • 聯絡我們
  • Copyright © 2019 MIRACLE

晶鑽全瓷貼片案例8

078--
 
078-- (2)     
  
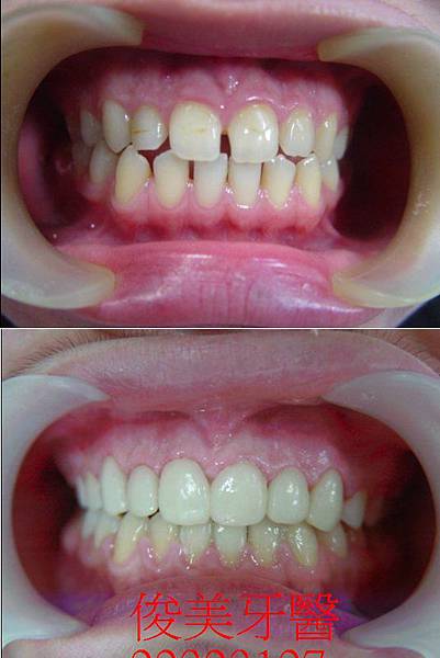
患者要做全瓷貼片,先將患者的咬合調整好後,再採水雷射整型,雖然牙齦會紅紅的,
可是術後疼痛度極少。不需要吃藥。
078-- (3)


078-- (4)
1週後牙齦狀況已恢復.....
078-- (5)


修磨薄薄的一層後....再製成好的全瓷晶透貼片鑲嵌上去。哇~~~~~~~超驚豔!!
078-- (6)


患者十分滿意,一來解決了患者牙齒偏小的問題,二來也將牙齒顏色變得晶亮白皙了。
配戴維持器,定期檢查即可。
 
回上層

俊美牙醫

地址:台中市北區太原路三段78號
電話:04-22323127
GOOGLE 地圖
歡迎追蹤我們、與我們聯繫,很高興為您服務
粉絲團

FACEBOOK

 
 
Designed by 米洛網頁設計
本站是採用全世界最先進的SSL 256bit 傳輸加密機制
本站是採用SSL 256bit 傳輸加密機制