
患者於門診中表示,想要做矯正治療, 將戽斗的咬合做改善,請醫師評估,醫師分析後給患者的建議為:
除需利用矯正來調整咬合外,下顎的智齒需拔除,缺牙也需修復,牙齒將來需利用全瓷整型貼片來修復形
態及大小,有些牙齒因長期不正確的方向受力,導致牙周破壞,患者也有不明頭痛的症狀,只能以服藥緩
解。

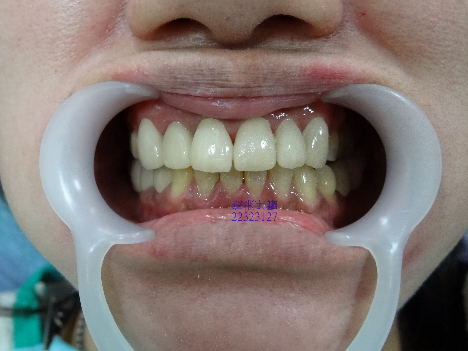
患者原始狀況,反咬,局部牙齦容易出血。

上排牙齒明顯被下排牙侷限住了。

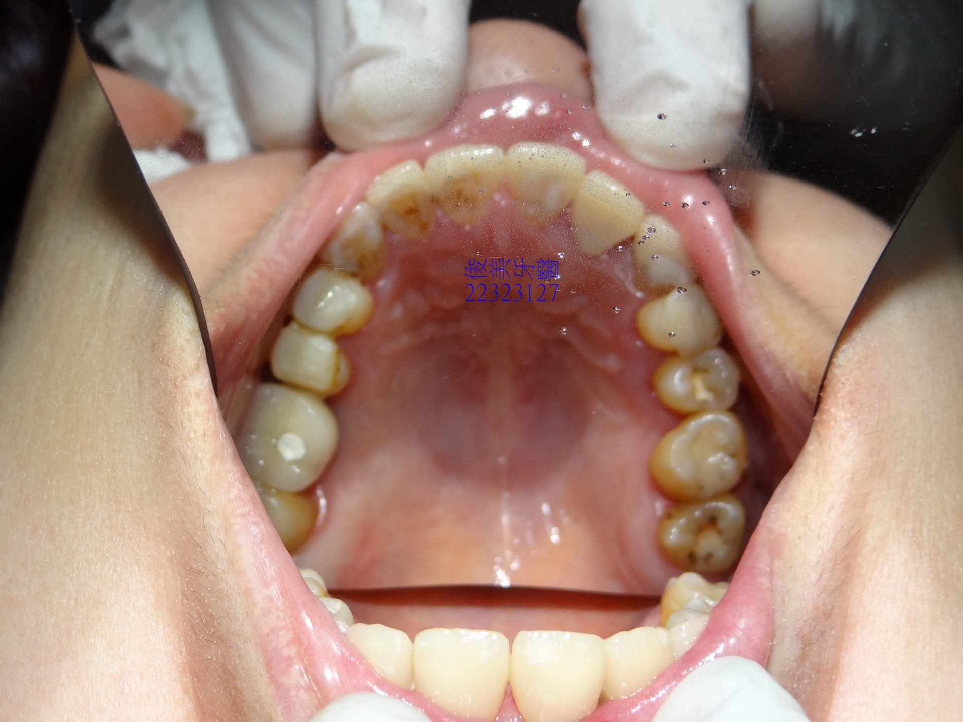
牙齒移位導致牙縫易塞、紅腫。

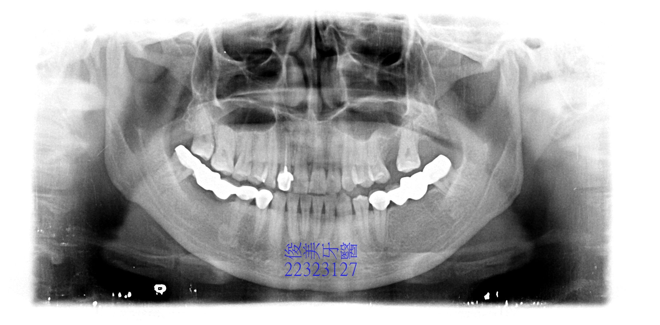
下排牙齒後牙因空間不足,採金屬牙修復,牙橋不易清潔。

患者担心需拔牙才能做矯正,醫師評估:不需要再拔除小臼齒就可以將戽斗狀況改善。
患者很開心。

因長期缺牙,側方骨頭皆已萎縮,牙脊過窄。需補骨。

治療前外觀。

治療中,已改善戽斗狀況,不再是反咬的狀況了。

治療接近後期。

幫患者創造一個全新亮麗的自信美齒。

可以開心露齒、自然開懷的大笑。

上顎狀況。

下顎狀況。

治療後,頭痛狀況,也減少許多。
臉形變v了,牙齒不再容易紅腫發炎了,好咀嚼、好清潔。
隨意上點妝就可以比別人亮眼、自信。
Change your smile, change your life!!

