俊美牙醫診所 Chunmei Dental Clinic
    CLOSE
  • 關於俊美
  • 最新消息
    • 回上一頁
    • 文章發表
    • 牙科新知
    • 門診時間異動
  • 治療項目
  • 案例分享
    • 回上一頁
    • 齒顎矯正案例
    • 全口重建案例
    • 智齒拔除案例
    • 晶鑽全瓷貼片案例
    • 全瓷嵌體案例
    • 其他案例
    • 顳顎關節症候群
    • 微創植牙
  • 患者常見Q&A
  • 衛教項目
    • 回上一頁
    • 牙醫說這個習慣錯了
    • 牙齒的功能
    • 服用骨鬆藥品注意副作用
    • 植牙上顎竇補骨術後注意事項:
    • 矯正治療注意事項
    • 埋伏智齒拔牙後須知
  • 預約門診
    • 回上一頁
    • 聯絡我們
  • Copyright © 2019 MIRACLE

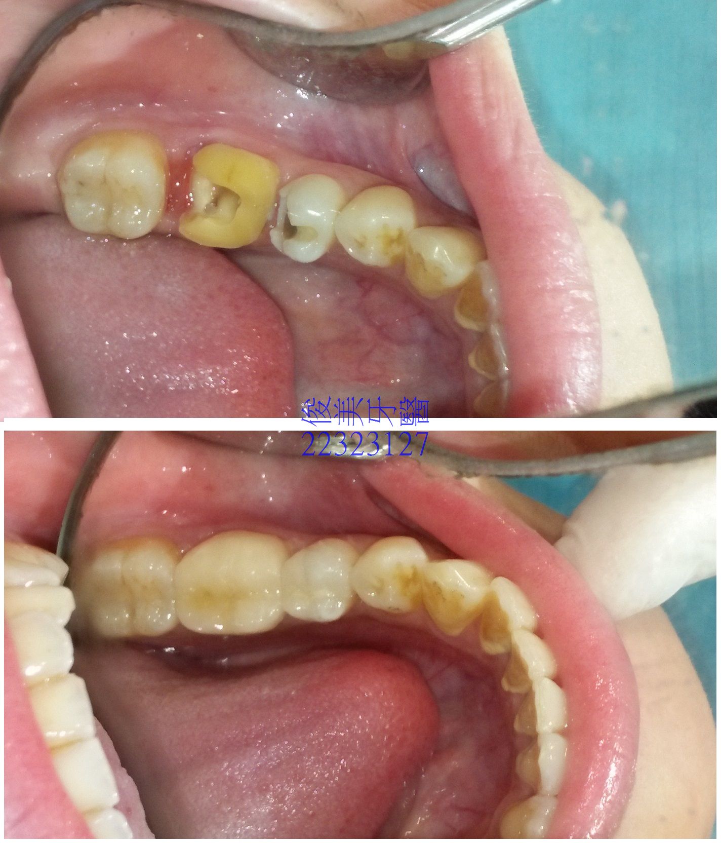
全瓷嵌體護套案例7



患者因未使用牙線,且大臼齒牙縫易塞,導致蛀牙蛀到神經,於治療後,聽從醫師建議做全瓷榫接式人工牙冠,因
臨界小臼齒也蛀牙,會敏感,因此一起修復,印模後,一週後回診裝牙。

患者裝 完牙後,直呼"太神奇了"!!
變身為完好的牙齒,一點都看不出來,牙縫也緊,可以用牙線清潔。
蛀牙深、敏感,在裝牙後,沒有症狀,無需抽神經。


 
回上層

俊美牙醫

地址:台中市北區太原路三段78號
電話:04-22323127
GOOGLE 地圖
歡迎追蹤我們、與我們聯繫,很高興為您服務
粉絲團

FACEBOOK

 
 
Designed by 米洛網頁設計
本站是採用全世界最先進的SSL 256bit 傳輸加密機制
本站是採用SSL 256bit 傳輸加密機制