
患者於門診中表示,牙齒搖晃、咬東西無力,牙縫容易塞東西,想要改善。
經醫師檢查後, 建議患者需進行全口重建,將牙根太差且已嚴重牙周被破壞的牙齒拔除,智齒也需拔除!
再利用矯正的方式將牙齒排列整齊,並將缺牙以植牙方式修復,牙齒磨耗嚴重的也需同時修復,並恢復前牙磨損的牙齒高度。
患者詢問醫師:我已經70歲了,還適合做矯正嗎??醫師回答:矯正是給牙齒排列有問題的人的治療項目,非關年齡和性別。
並說明治療前後的差異與長期效果,患者選擇相信醫師的診斷,進行全口重建的修復。

原始狀況,牙齒重疊。

前牙受力大,且不平均。

牙齒開始前傾,局部牙齦紅腫。

上顎後牙破壞嚴重,兩邊牙弓不對稱。

下顎後牙嚴重磨損,後半已無琺瑯質。

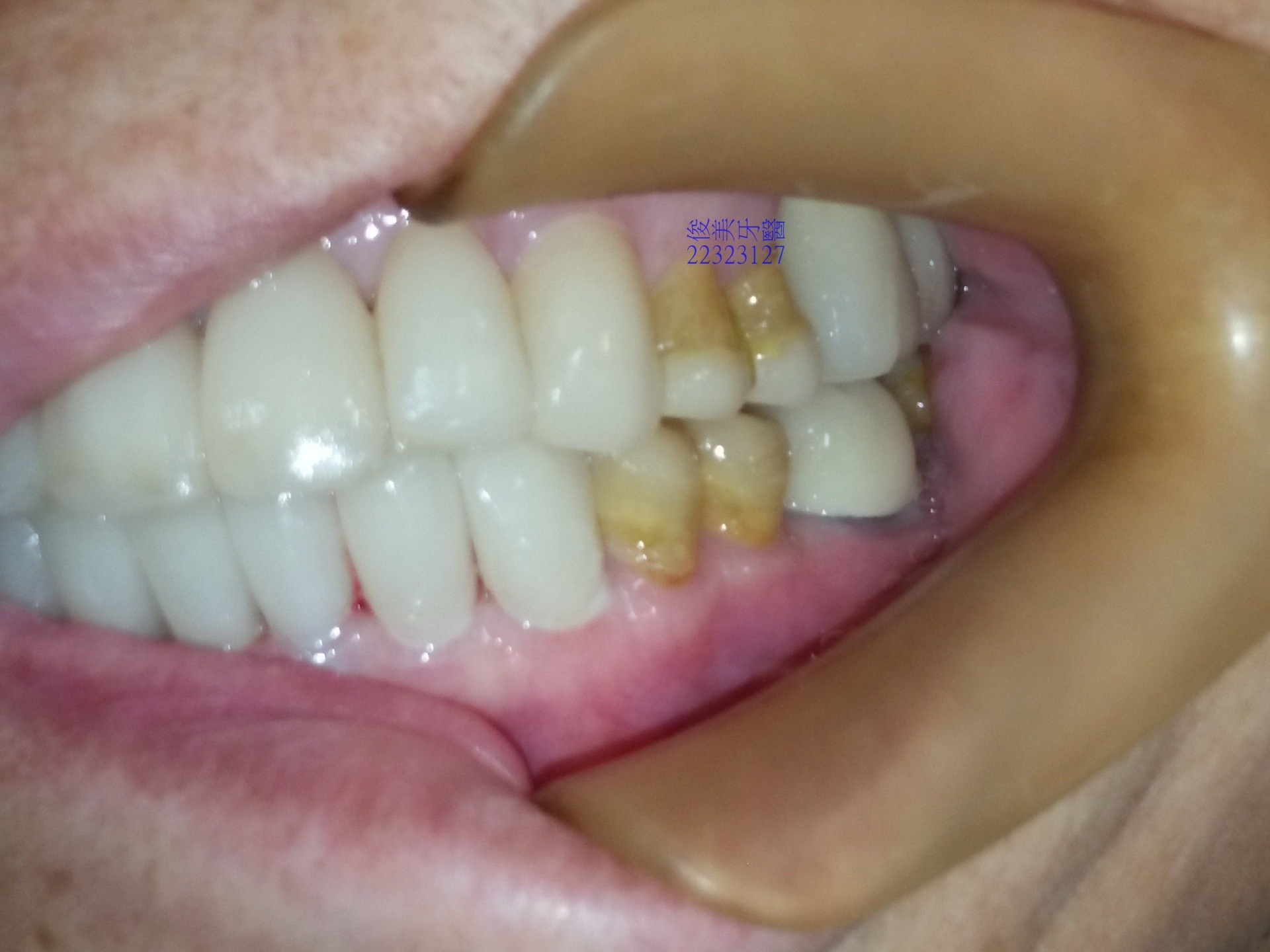
右邊咬合狀況。

左邊咬合狀況。

逐次安排拔牙。牙根已無血色,表示牙周已破壞殆盡,且牙根周圍菌多。

治療後牙齒牙根已崩裂。

下顎智齒長期刷不乾淨。

治療幾個月後,牙齒已全部展開,不再重疊在一 起了。

前後牙齒已協調,咬合很順,不干擾。

將前牙採晶鑽全瓷貼片做修復,患者超開心,牙縫也獲得改善。

上顎牙弓狀況。

下顎牙弓狀況。

左側咬合狀況。

右側咬合狀況。

患者開心的結束療程,完成療程後已接近四年。狀況良好,定期回診。
配戴維持器。
她77歲,已經準備好了。您~~準備好您的老年生活了嗎??
一口好牙,無往不利。

