
患者為戽斗咬合,門診時表示:牙齒會搖晃、咀嚼東西無力、牙縫容易塞,做了假牙還是有些牙齦會流血,覺得很困擾,想要獲得改善。
醫師檢查後 :分析患者的根本原因為咬合問題、及牙齒受力不平均...需進行全口整合性治療。
咬合需進行調整,上下顎的落差也會縮減,患者回去思考後,決定進行療程。

原始上顎狀況。

原始下顎狀況

治療中........

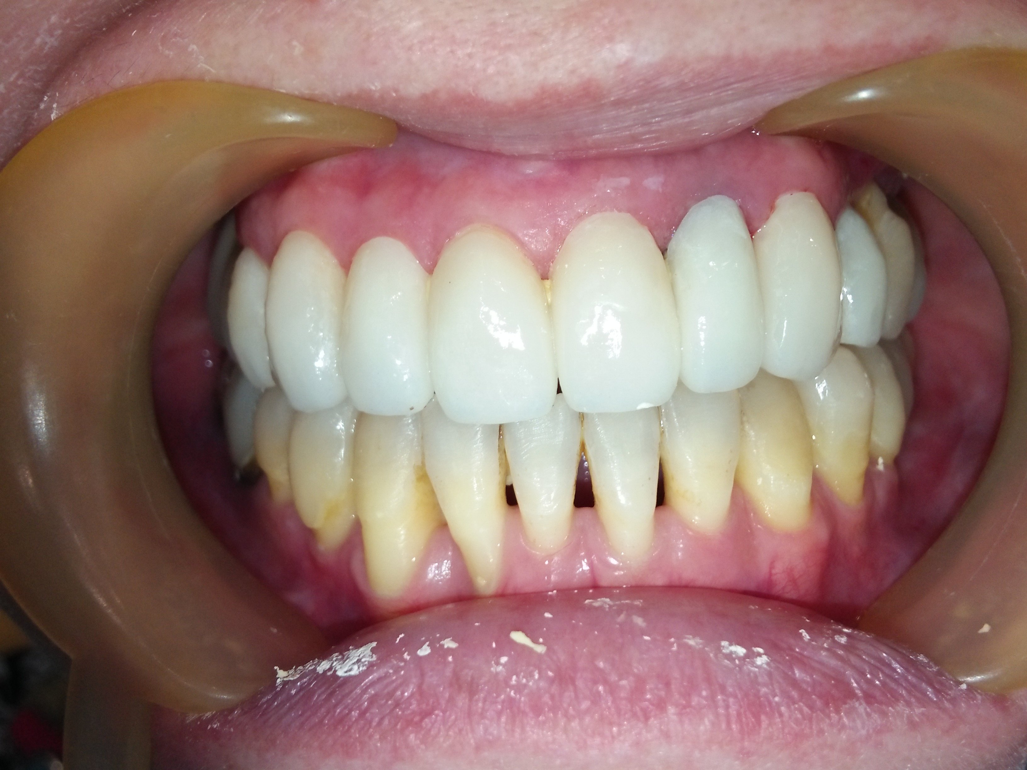
咬合調整完成後,將後牙和前牙分次修復,將受力重新分配。

咬合調整完成後,將後牙和前牙分次修復,將受力重新分配。

患者因自身預算考量,原計劃為上下排前牙因長期咬合不正、受力不均導致骨頭萎縮嚴重,需採晶鑽全瓷貼片修復才能達到較佳的修飾效果,但因預算有限,因此先修復上排前牙美觀區,待日後有足夠預算再修復下排前牙。
上前牙修復後,患者非常滿意,牙齒形態和顏色都讓患者能自信的開懷大笑。

修復前後的牙齒牙弓形狀差異。
全口整合性治療讓齒列獲得再生、牙齒壽命獲得延長,不需修磨過多的琺瑯質,可以重建牙齒在過去時間所耗損掉的琺瑯質,讓牙髓神經獲得保護。

患者自覺還是要即早將牙齒修復,避免年老時面臨無牙可用的窘境,且修復後面相優化,美麗又有自信。
雖然危老重建不是不可以,但即早修復、即早享用,美麗久久。
相信大家都希望在年輕時做好準備,而不是要在年老時才面臨究章要選擇活動假牙還是植牙的困難抉擇!
以上肖像權皆獲患者授權同意,盜圖必究。

