
患者年約75歲,自覺左下牙齒剩半顆,會敏感略酸痛,想要修補那顆牙齒,讓自己比較好咀嚼。

但醫師分析患者牙齒問題,有嚴重的咬合問題,牙齒過度磨耗、齒軸歪、缺牙未補....等等,想要修復單顆牙齒幾乎是不可能的任務。

一來單顆過高咀嚼不順、受力也不對,二來僅一顆牙齒完整達不到協調性。

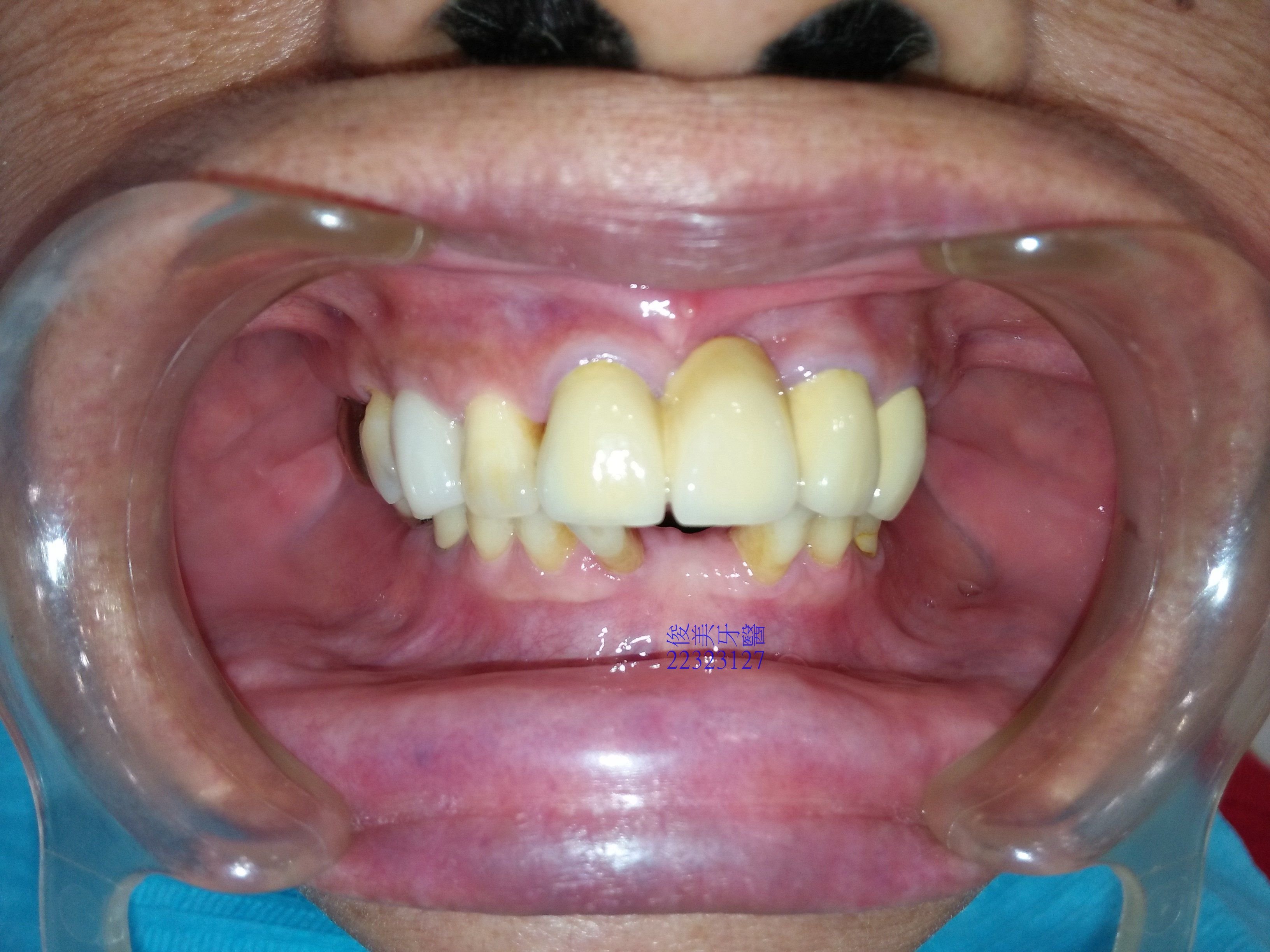
前牙因受力過重,牙齒明顯往前飄,造成輕微暴牙,影響功能及造成美觀問題。

長期受力不均及受力方向不對造成牙齦有紅腫現象。

牙齒多數已磨耗嚴重,琺瑯質喪失。
因此注重牙齒的整體完整性及協調其咬合非常重要。
單一因素修建牙齒,結果可能不盡如意。建議患者考量全口問題,一次規畫按步施工,才能達到患者想要的功能和美觀兼具。
如同以下案例一樣,患者年約67歲,評估後約一年才回診決定接受治療。
因考量費用及年齡問題,遲遲無法決定,但經過評估一年後....牙齒多壞了3顆,此時患者驚覺-吃東西很不方便,咀嚼很吃力,牙縫也特別會塞東西。
在家人的鼓勵及陪同下,決定進入整合型全口重建的療程。

因後牙無支撐,嚴重深咬,整排牙齒位移,一前一後,牙齦有紅腫出血現象。

下排牙齒開始內縮,咀嚼不順,牙縫變大。

後牙參差不齊,牙縫變大易塞、咀嚼吃力。

後牙高度低,牙縫嵌塞,難磨碎食物。
歷經一年多的全口重建治療後........

還給患者一副好用、協調且美觀的牙齒,重建患者的整體基本功能及美觀大幅優化的牙齒。
患者目前70歲,雖然重建過程不輕鬆, 為了自已的身體健康及減輕照顧者的負擔(不用額外準備流質食物),花了一年多的時間,重整了自己的牙齒,不但使面相優化,也達到理想的牙齒狀況。
希望有美好、開心的老年生活。

面對自己的牙齒問題及將來的老年生活,您準備好了嗎??
面對自身的問題??抑或逃避目前的問題???
美好的樂齡生活,醫病㩦手共創。

