
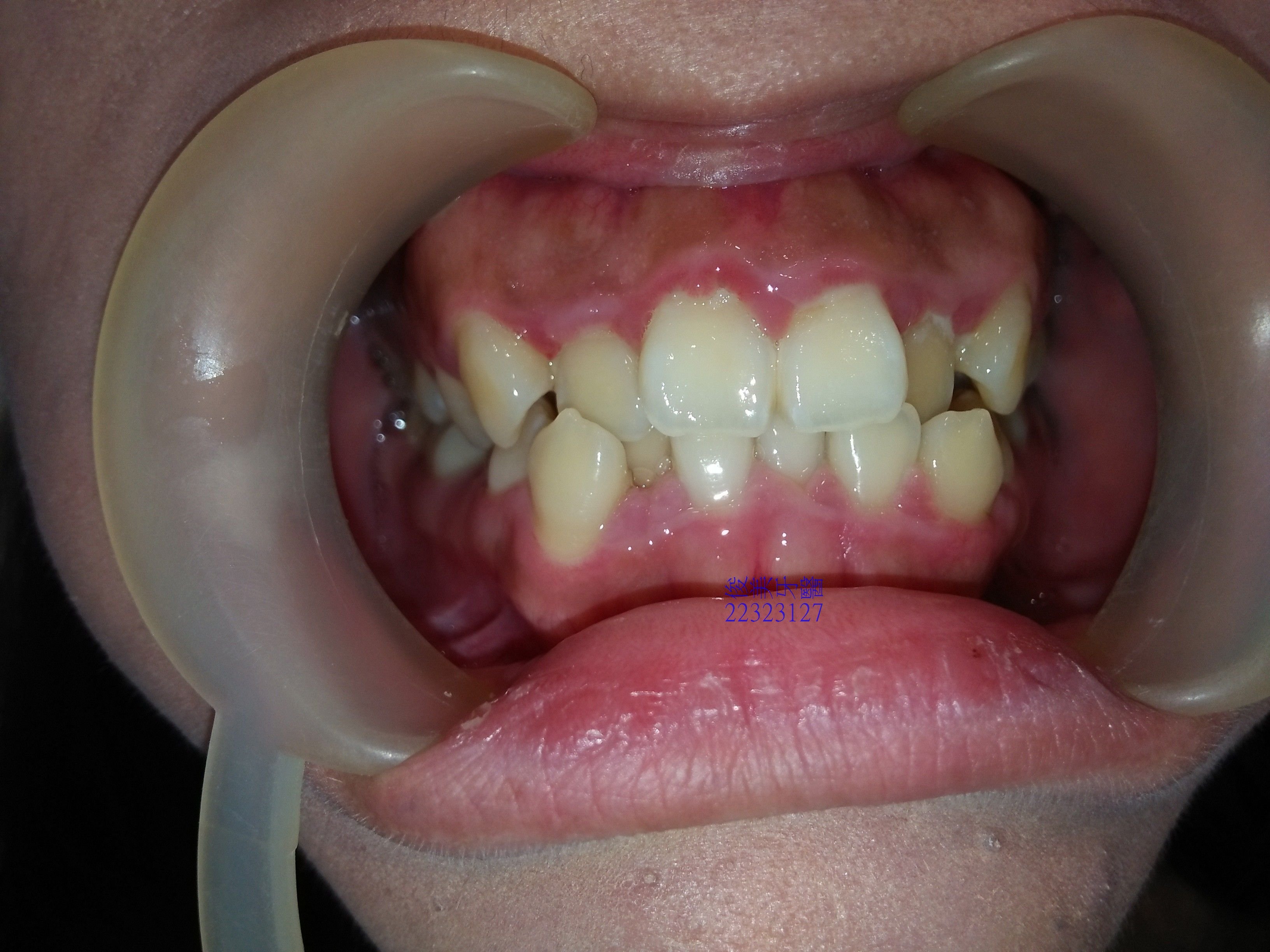
患者因牙齒排列擁擠來就診,希望能夠改善排列問題及解決牙齦長期紅腫的現象。
經醫師詳細評估後,分析問題給患者瞭解:除了排列問題存在以外,患者尚有上下顎骨架落差問題、戽斗骨架及牙齒偏小、牙齦外露.. 等,健康問題及美觀問題都有。
解決擁擠問題可以採拔除埋伏智齒釋放空間給前牙,不需拔除4顆完整的小臼齒;改善骨架落差則採榫接式人工牙冠來拉近骨架落差,不需要做正顎手術;至於牙齦紅腫起因為牙齒排列造成食物容易堆積,改善排列加上適當清潔後自然可以漸漸改善。
而微笑時牙齦外露問題及牙齒比例問題,則需靠微整型加上全瓷晶鑽貼片來改善。

患者和家人全盤了解後,決定採取醫師建議進行治療。
先分次將智齒拔除後,開始療程。

前牙晶鑽貼片完成了,患者及家人都很滿意效果,不但不需要磨太多齒質,也讓患者在微笑時,大幅優化了整體顏質。
可以散發迷人的笑容。自信又健康。

改變要下定決心,自信健康可以達成。
從新開始,變身靚麗美女不再遙不可及。
讓您成為鎂光燈的焦點,聚會的閃耀之星。

