





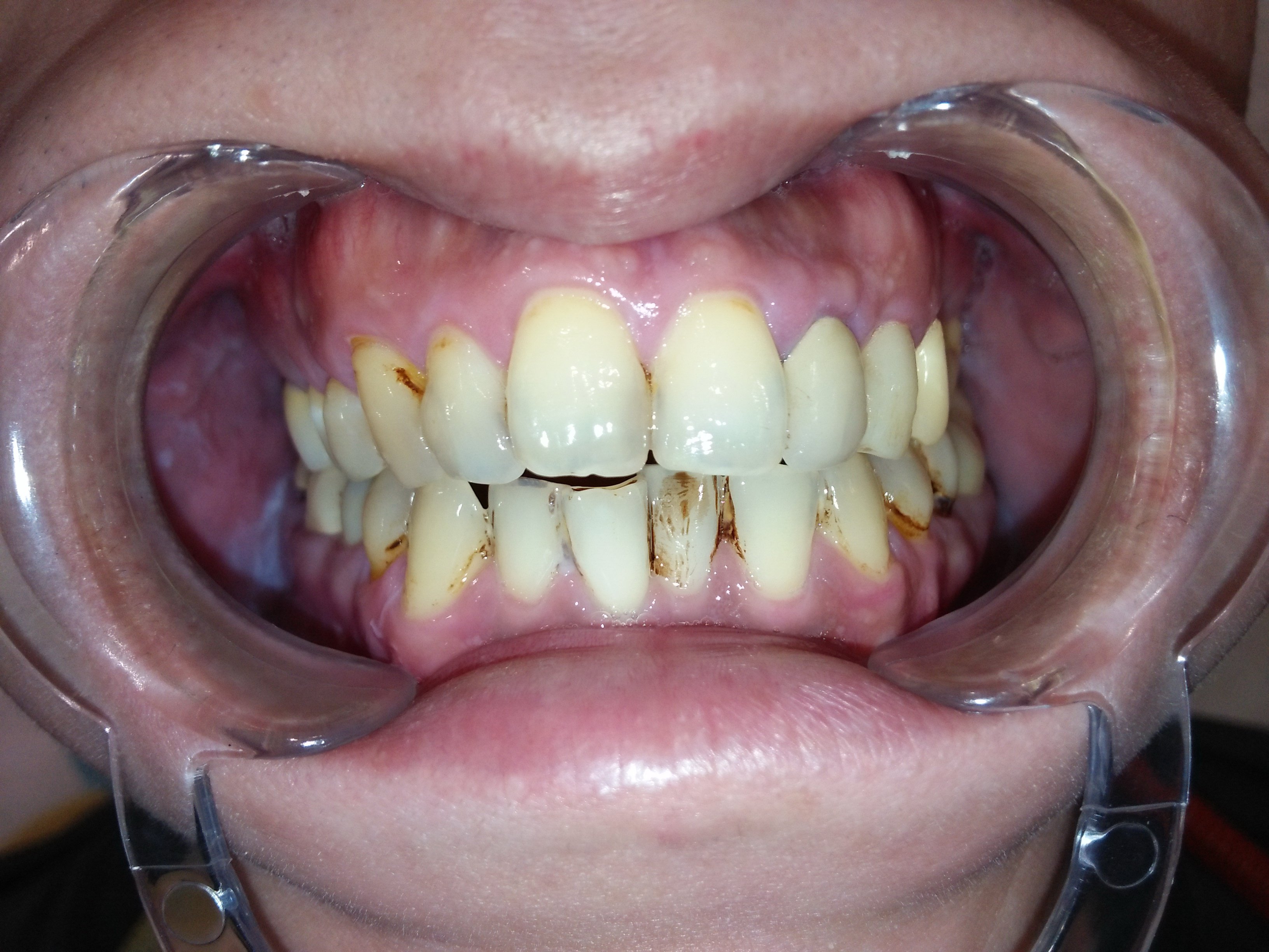
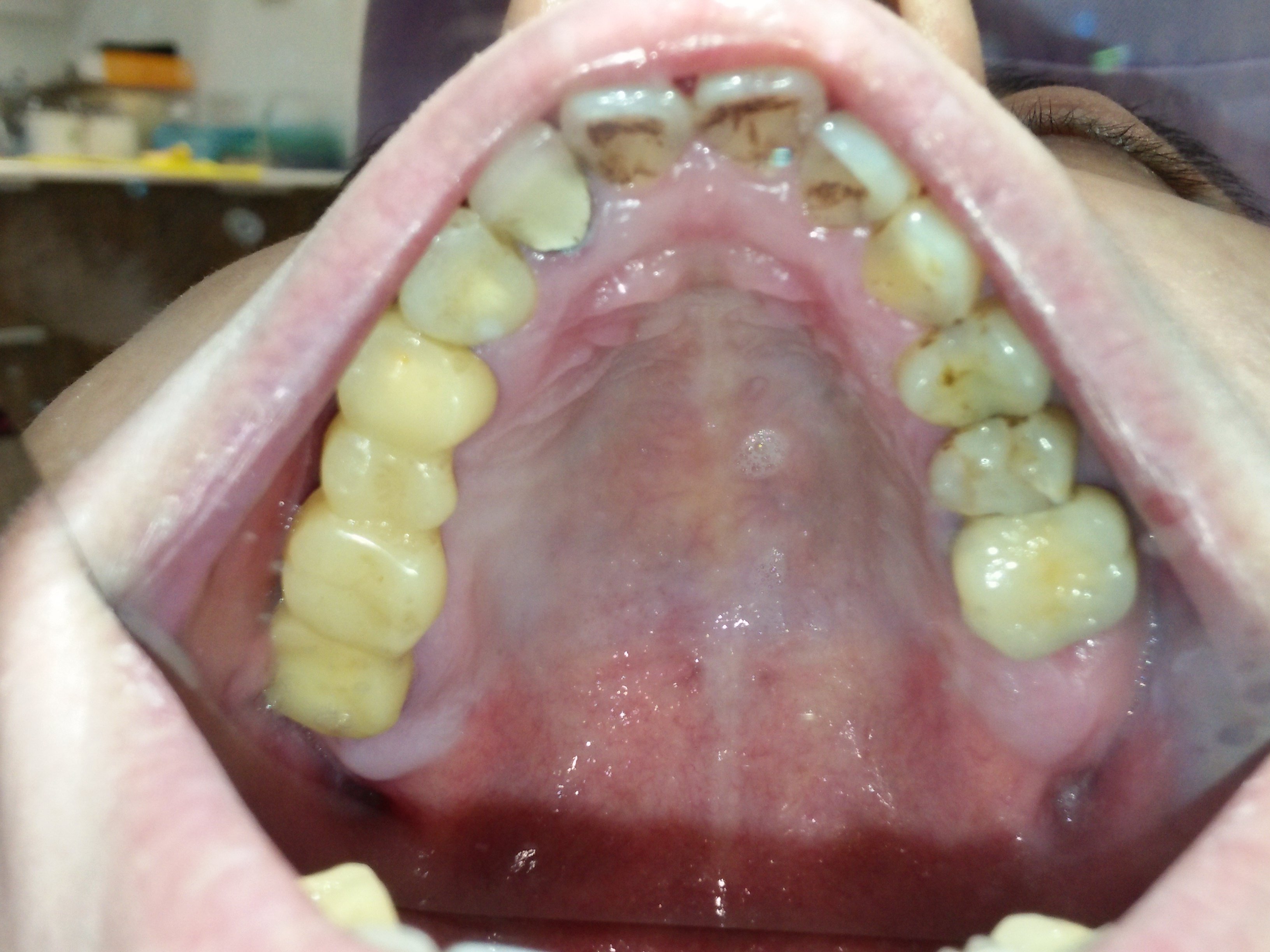
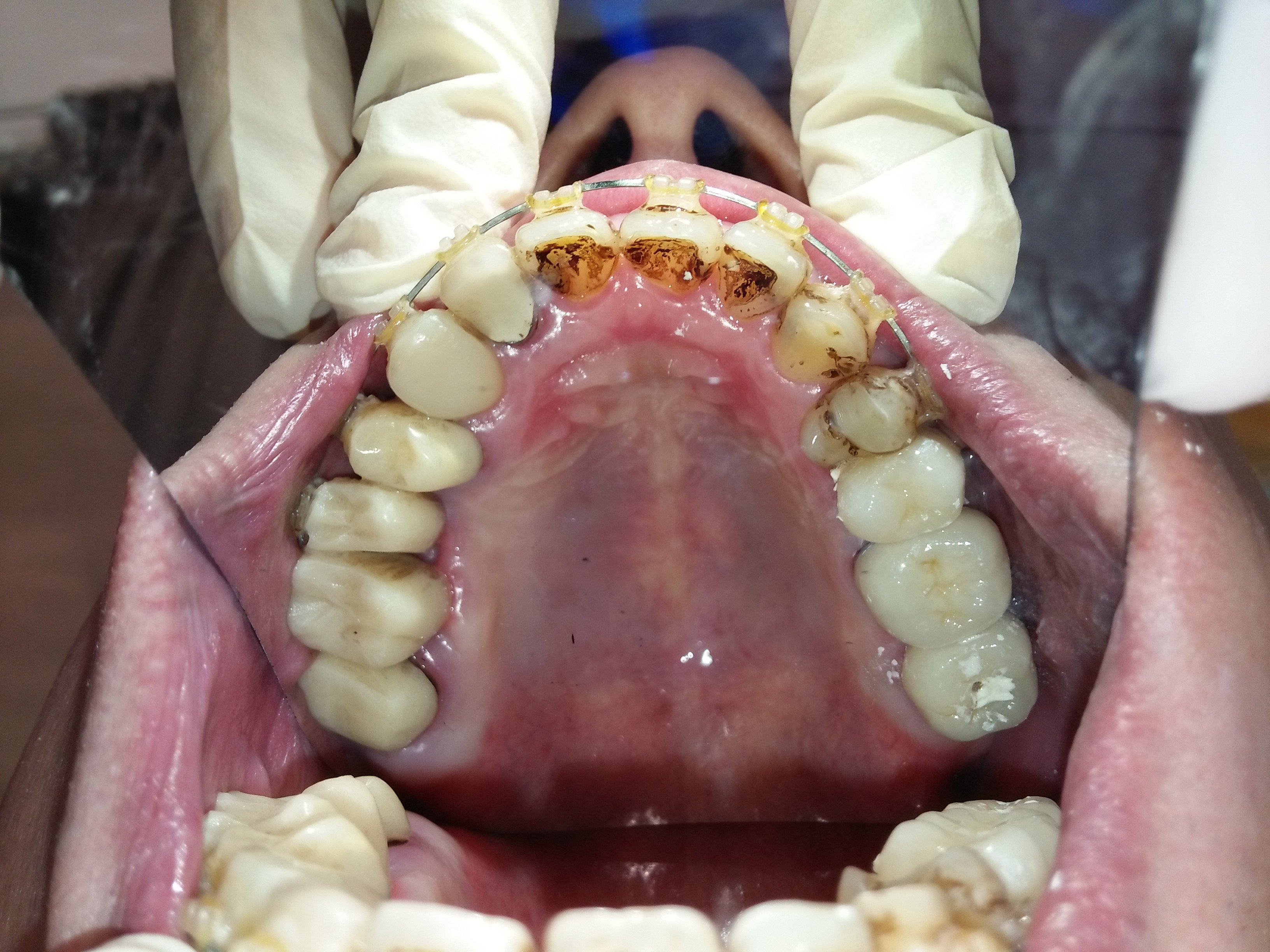
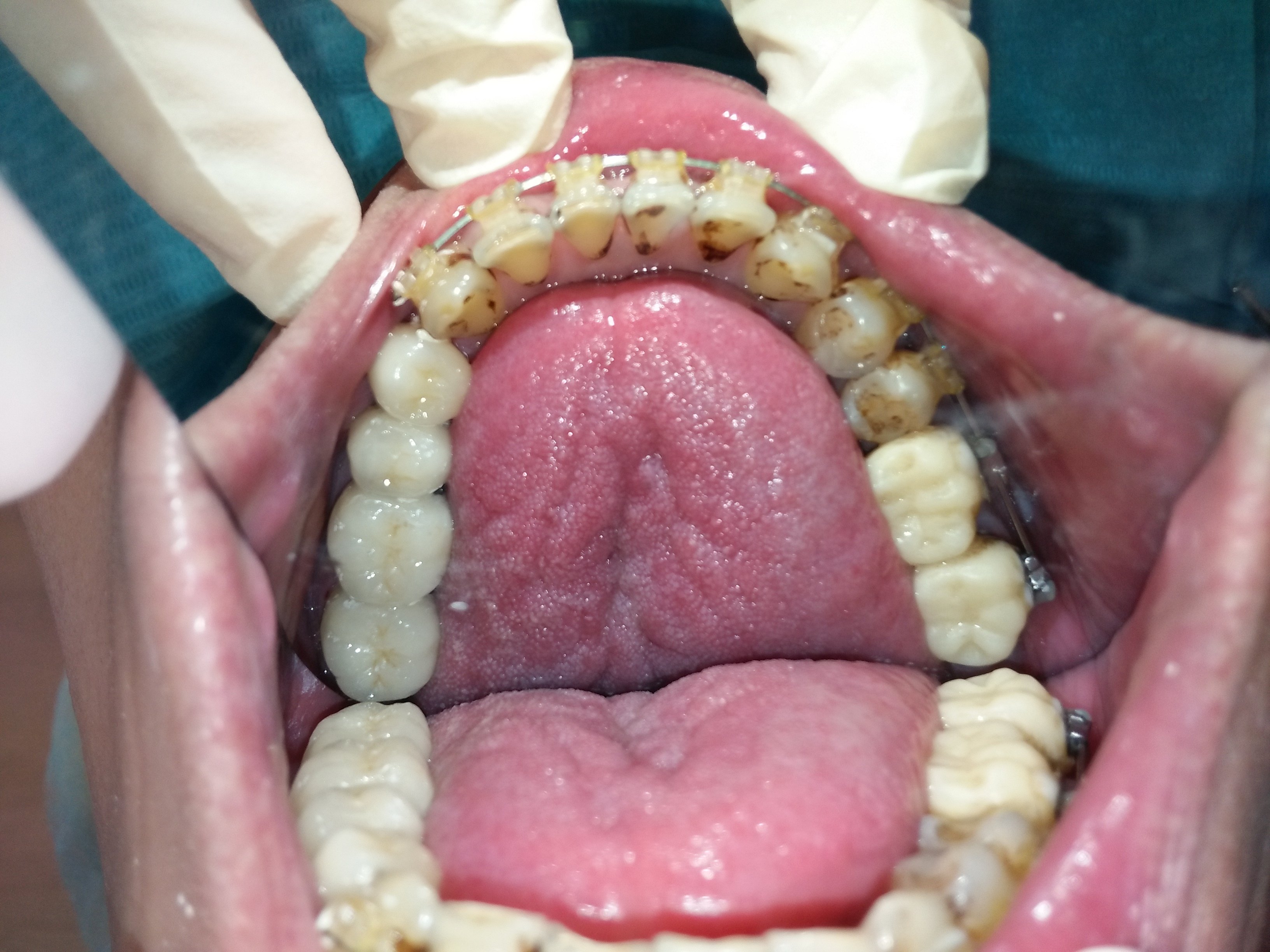
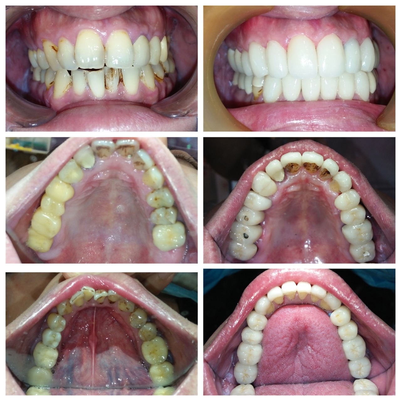
患者於原診所處理牙齒,僅是補牙、抽神經、做假牙的無限輪迴,牙齒壞了做牙橋,牙橋壞了補骨準備植牙,但因患者有疑慮,牙齒始終做不好,上顎假牙總是脫落、總是在看牙醫;決心換家評估。在聽過醫師仔細的分析後,決心要改變自己之前的觀念,接受醫師全口重建的治療方式。


這才發現原來補骨醫師技術有別,不是有補就好,蛀牙也不是一再重複處理讓牙齒神經反覆受刺激;需要先處理咬合、排列的問題,再將缺牙、蛀牙和前牙美觀合併處理,不但解決了牙縫塞東西造成蛀牙不斷,也讓牙齒排列改變改變外觀。

改變排列及牙齒上下相對位置,才能讓咬合和受力分配較佳並穩定,不會產生牙縫遭受直接衝擊的問題。


臨時的咀嚼一陣子並將咬合調順後,換成固定牙,更容易適應。

補骨後再植牙,讓牙齒地基有足夠的骨本,也讓自己擺脫總是在做假牙或做假牙的路上的命運。
改變觀念,跟上世界潮流的治療腳步,您可以擁有與展現與眾不同的笑容,讓人生更加精采!

