
患者於就診時,敘述一、兩個月前因鼻竇炎就醫,耳鼻喉科藥未改善,於是建議做內視鏡檢查及刮除手術需自費,施行後改善有限,患者仍有異味,最後耳鼻喉科醫師建議到牙科就診,可能跟牙齒有關。
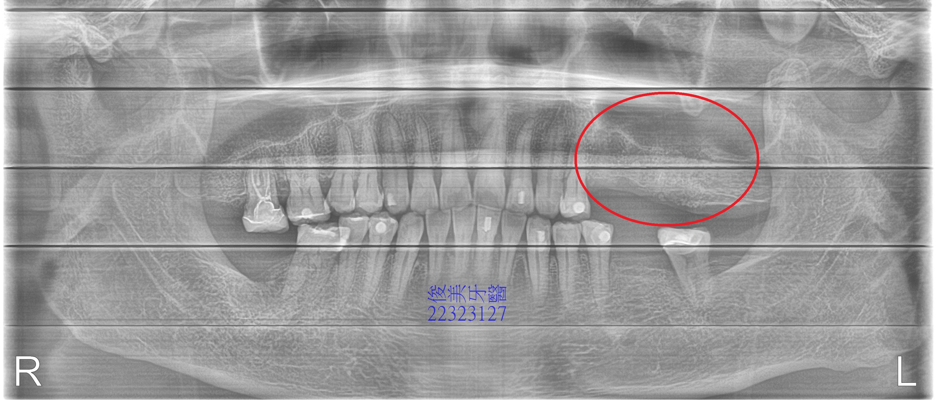
醫師檢查後,建議患者做全口重建,因咬合嚴重于擾,且患者右邊咬合很差,因此長期使用左邊咀嚼,加上患者咬力大,左邊上排牙齒皆抽過神經,長期刺激下,使得根尖產生病變及骨頭破壞,因此鼻竇持續有感染的現象,於拔牙後,將患處組織刮除及清洗,術後患者就再也沒有說有症狀了。
終於解除了危機。
患者終於正視自己的牙齒問題,決定接受重建療程。

5個多月,患者原先骨頭破壞處,也修復了許多。
患者不再為此困擾、憂心了。
千萬不要以為牙齒有就好,少一顆沒關係,歪歪的咬也無所謂,這些問題將來都會成為修復牙齒後,牙齒究竟能不能協調的關鍵哦!

